What does resorption mean?
What does resorption mean? Resorption is the breakdown and assimilation of old bone in the cycle of bone growth. The process of resorption (remodeling) in...
Expert insights and detailed technical documentation about News.
What does resorption mean? Resorption is the breakdown and assimilation of old bone in the cycle of bone growth. The process of resorption (remodeling) in...
How do you get legal guardianship in Tennessee? Eligibility to be a guardian The guardian be 18 years-of-age or older. Be physically and emotionally fit t...
Can you still download songs for SingStar PS3? Editions of SingStar for the PlayStation 3 & PlayStation 4 support downloadable content in the form of ...
How many lawyers does Fried Frank have? 500 lawyers Fried, Frank, Harris, Shriver & Jacobson LLP advises the world’s leading corporations, investment ...
What is the Ruggie framework? The Ruggie Framework outlined an all-encompassing, three-pillar approach to business and human rights, including a state dut...
Who sang suo GÂN in Empire of the Sun? James Rainbird The Ambrosian Junior ChoirJohn Mc Carthy Suo Gan/Artists “Suo Gân”, as performed by James Rainbird a...
Do mercury vapor lamps need a ballast? A mercury vapor lamp is a type of high intensity discharge (HID) lamp that is typically used for commercial and out...
What is the price of BMW 730Ld? BMW 7 Series 730Ld DPE Signature Price Ex-Showroom Price Rs.1,39,90,000 RTO Rs.18,18,700 Insurance Rs.5,67,618 Others Rs.1...
Can you buy smartweed seed? Buy it with Ships from and sold by Roundstone Native Seed LLC. Can you plant smartweed? Smartweed can also be planted in late ...
Is Saints Row 3 free on PC? Following the announcement of the new Saint Row game at Gamescom, Saint Row: The Third Remastered is now available for free on...
What is another word for Ingenuine? What is another word for ungenuine? fake false ingenuine doubtful dubious debatable equivocal unverified spurious ques...
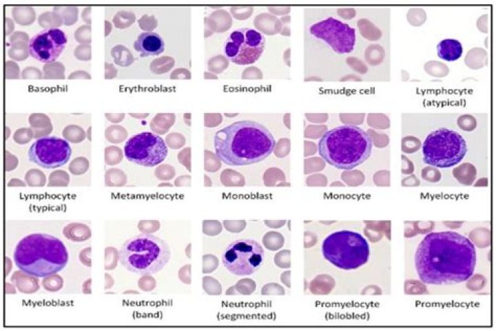
What can cause high lymphocytes and low neutrophils? If your doctor determines that your lymphocyte count is high, the test result might be evidence of on...